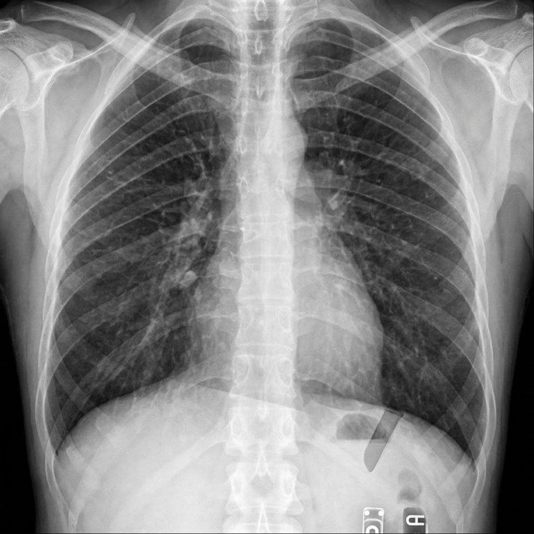
Nakon vađenja umnjaka počeo čudno štucati, rendgen otkrio uzrok

Nakon vađenja umnjaka počeo čudno štucati, rendgen otkrio uzrok
Znate li nešto više o temi ili želite prijaviti grešku u tekstu? Kliknite ovdje.
Homepage nacije.
Imate važnu priču? Javite se na desk@index.hr ili klikom ovdje. Atraktivne fotografije i videe plaćamo.
Želite raditi na Indexu? Prijavite se ovdje.
Učitavanje komentara